100% de satisfacción garantizada Inmediatamente disponible después del pago Tanto en línea como en PDF No estas atado a nada 4,6 TrustPilot
logo-home
Examen

Chapter 45 chest x-ray

Puntuación
-
Vendido
-
Páginas
6
Grado
A+
Subido en
15-11-2024
Escrito en
2024/2025

Chapter 45 chest x-ray

Institución
Grado









Ups! No podemos cargar tu documento ahora. Inténtalo de nuevo o contacta con soporte.

Escuela, estudio y materia

Institución
Grado

Información del documento

Subido en
15 de noviembre de 2024
Número de páginas
6
Escrito en
2024/2025
Tipo
Examen
Contiene
Preguntas y respuestas

Temas

Vista previa del contenido

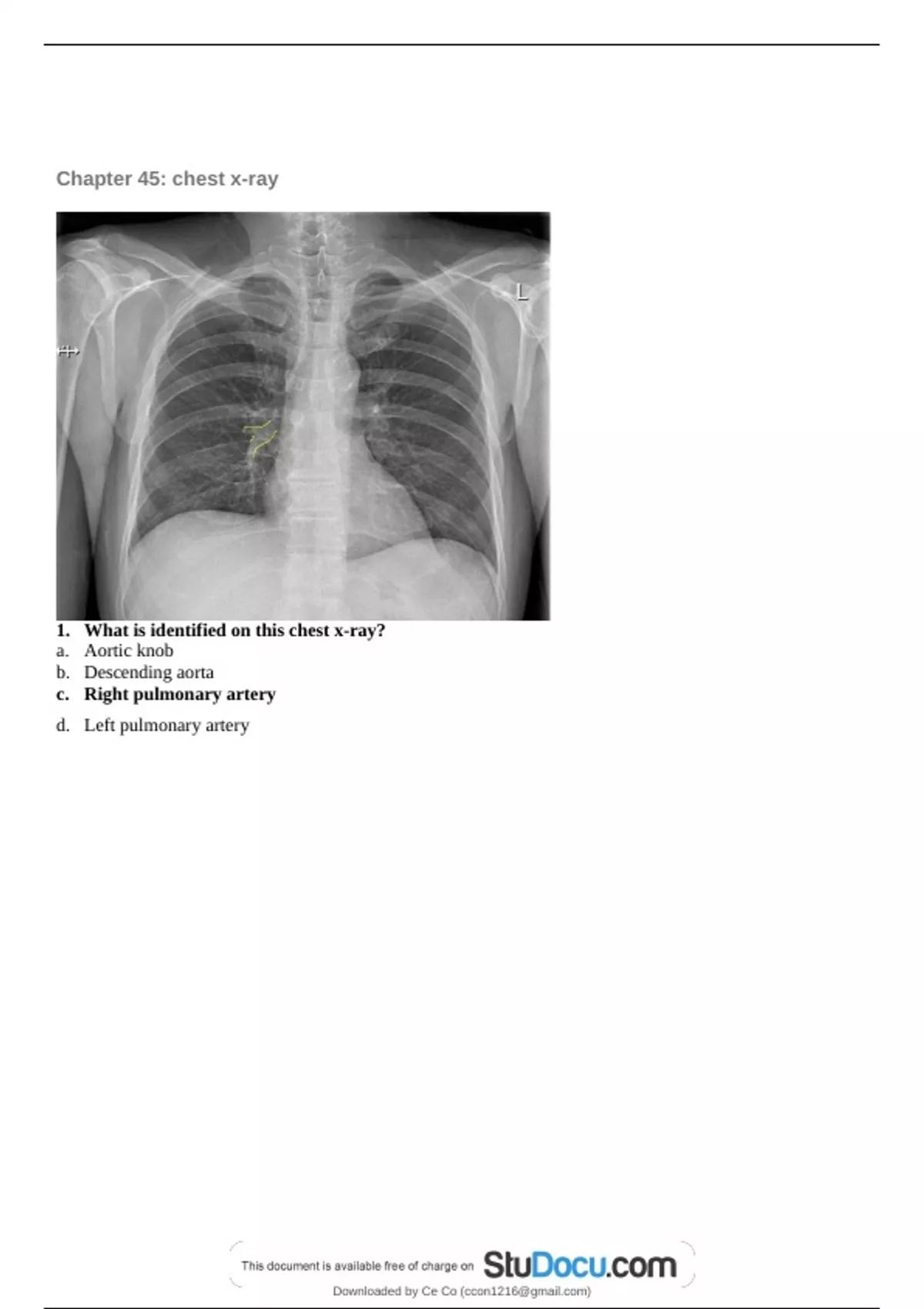
Chapter 45: chest x-ray




1. What is identified on this chest x-ray?
a. Aortic knob
b. Descending aorta
c. Right pulmonary artery
d. Left pulmonary artery




Downloaded by Ce Co ()

, 2.




. 2. What is identified on this chest x-ray?
a. Aortic knob
b. Descending aorta Correct.
c. Right pulmonary artery d. Left pulmonary artery




Downloaded by Ce Co ()
$8.49
Accede al documento completo:

100% de satisfacción garantizada
Inmediatamente disponible después del pago
Tanto en línea como en PDF
No estas atado a nada


Documento también disponible en un lote

Conoce al vendedor

Seller avatar
Los indicadores de reputación están sujetos a la cantidad de artículos vendidos por una tarifa y las reseñas que ha recibido por esos documentos. Hay tres niveles: Bronce, Plata y Oro. Cuanto mayor reputación, más podrás confiar en la calidad del trabajo del vendedor.
senje OSU Online
Seguir Necesitas iniciar sesión para seguir a otros usuarios o asignaturas
Vendido
9
Miembro desde
1 año
Número de seguidores
0
Documentos
238
Última venta
12 horas hace
Your Trusted Nursing Study Partner

Hi there! I'm Senje. I am passionate about helping nursing students achieve their academic goals with high-quality test banks and exam prep materials. As someone with hands-on experience in nursing education, I know the challenges of juggling coursework, clinicals, and exams. That's why I create resources designed to make studying simpler, faster, and more effective. Whether you're prepping for a quiz, a final exam, or the NCLEX, my materials provide the clarity and practice you need to succeed. What I Offer I. Nursing Test Banks: Comprehensive question banks aligned with your coursework. II. Exam Practice Sets: Realistic nursing exam questions to sharpen your test-taking skills. III. Study Guides: Condensed notes covering key concepts in a student-friendly format. IV. Customised Solutions: Need something specific? I’ve got you covered! Best Sellers 1. Pathophysiology Test Bank – Clear explanations and practice questions for tricky concepts. 2. Pharmacology NCLEX Practice – Perfect for mastering medications and dosage calculations. 3. Critical Care Nursing Exam Pack – Advanced-level prep for critical care rotations. 4. Nursing Leadership & Management Guide – Study smarter for leadership roles in nursing.

Lee mas Leer menos
5.0

6 reseñas

5
6
4
0
3
0
2
0
1
0

Recientemente visto por ti

Por qué los estudiantes eligen Stuvia

Creado por compañeros estudiantes, verificado por reseñas

Calidad en la que puedes confiar: escrito por estudiantes que aprobaron y evaluado por otros que han usado estos resúmenes.

¿No estás satisfecho? Elige otro documento

¡No te preocupes! Puedes elegir directamente otro documento que se ajuste mejor a lo que buscas.

Paga como quieras, empieza a estudiar al instante

Sin suscripción, sin compromisos. Paga como estés acostumbrado con tarjeta de crédito y descarga tu documento PDF inmediatamente.

Student with book image

“Comprado, descargado y aprobado. Así de fácil puede ser.”

Alisha Student

Preguntas frecuentes